Gleich vorweg, dieser Artikel ist nicht unbedingt geeignet, wenn man gerade am Essen ist, aber trotzdem wollte ich es "zu Papier" bringen. Zunächst war ich ja bei meinem damn bloody motherf**g Sitzbein noch von einem rein orthopädischen Problem ausgegangen, was die Beschwerden und mein quasi Trainings-aus bedingt haben. Da die Cortison Spritzen auch teilweise dauerhaft die Beschwerden gelindert hatten, schien mir das der richtige Weg. Nachdem mich dann aber der dritte Orthopäde trotz Schmerzen mit einer Kopie von Yoga Übungen nach Hause geschickt hatte "wenn Sie die Übungen regelmäßig machen, wird bald wieder alles gut sein", hatte ich die Hoffnung ja fast aufgegeben, dass das Problem zeitnah in den Griff zu bekommen wäre.
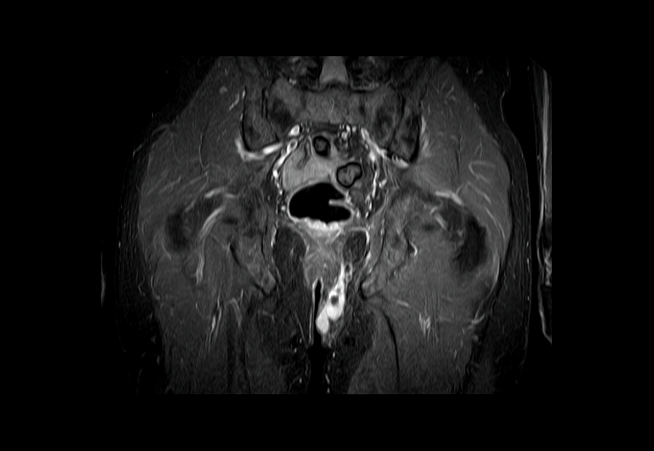
Trotzdem hatte ich mich dann bei meinem Schwimmtrainer nach der Vereinsempfehlung eines Orthopäden erkundigt und dort umgehend einen Termin gemacht. Dieser hat dann auch erst mal eine umfassende Untersuchung aller potentiellen Ursachen vorgeschlagen, statt direkt mit einem Medikamenten Rezept, Spritzen oder Physiotherapie um die Ecke zu kommen. Er hat dann alle Gelenke und Muskelbereiche abgetastet, um mich danach zum umfassenden Röntgen zu schicken. Hier durfte ich dann in x Ballettpositionen vor der Röhre stehen, um die Gelenke aus allen erdenklichen Positionen abzulichten. Zu guter Letzt musste ich noch einen separaten Termin für eine MRT Untersuchung machen, welchen ich Glücklicherweise dann sehr schnell bekam. Nach einer gefühlten Ewigkeit in der Röhre wurde ich dann zur Besprechung des Ergebnisses von der Ärztin hereingerufen. Diese offenbarte mir dann direkt, dass es sich tendenziell eher nicht um ein orthopädisches Problem handelt, was die Schmerzen verursachten. Auf dem Bildschirm zeigte Sie mir auf der linken Seite von meinem Hintern zwischen dem ganzen Grau eine riesige weiße Stelle. "Das gehört hier nicht hin" und ist eine große flüssige Entzündung, konkreter ein eitriger Abszess. Den Begriff Abszess hatte ich schon einmal gehört, konnte aber nicht wirklich einsortieren, was es damit auf sich hatte. Die MRT-Ärztin wollte dem Kollegen der Orthopädie nicht zuvor kommen, sagte mir aber gleich, dass hier ein Proktologe eher die richtige Wahl wäre. Ein Prokto-was? Nach der Befragung des Orakels Googel fand ich heraus, dass ein Proktologe quasi das Gegenteil eines Zahnarztes ist, was der Zahnarzt für den Mund, ist der Proktologe der Fachmann für das andere Ende der Körperöffnungen... Also fix einen Termin machen und hoffen das er schnell helfen kann. Doch da war ich wohl etwas zu optimistisch.
Nachdem ich den Termin vereinbart hatte, habe ich mich von meinen Büro-Kollegen noch mit "ich bin dann heute Nachmittag oder spätestens morgen wieder zurück" verabschiedet. Ich war davon ausgegangen, dass es ähnlich wie bei einem Zahnarzt nicht angenehm wird, man aber dank Betäubungsspritze und ggf. etwas Ibuprofen doch schnell wieder auf den Beinen ist. Diesen Zahn hat mir der Proktologe dann schnell gezogen. Erst einmal durfte ich für eine weitere Untersuchung auf einem Gynäkologen Stuhl Platz nehmen. Liebe Frauen, jetzt weiß ich, wie ihr euch fühlt. Nach einer nicht ganz so angenehmen Untersuchung gab es das Ergebnis, das er selber nichts machen kann. Er vereinbarte jedoch praktischerweise direkt einen Termin in der Chirurgie im Krankenhaus und wenn ich direkt von seiner Praxis dort hinfahren würde, könnten die das heute noch machen...
Dort angekommen ging es dann erneut zur Voruntersuchung. Konkret hatte ich einen Perianalabszess mit Verdacht auf Fistelbildung. Das war auf Grund der Lage und Größe kein Thema für eine "kleine ambulante OP", sondern mir wurde das volle Programm mit stationärer Aufnahme, Vollnarkose und einigen Tagen Aufenthalt angeboten. Etwas lehrreich war diese Voruntersuchung auch. So kennt sicher jeder Hunde und andere Tiere, die sich für die Begrüßung und Einschätzung zur Rasse und Rang am Hintern schnuppern, weil dort Geruchsdrüsen sind. Menschen haben sowas auch, auch wenn sie heutzutage wohl keine Funktion mehr haben, können die Drüsen sich trotzdem entzünden und genau das verursachen, was bei mir entfernt werden muss. Wenn diese Drüse der Auslöser ist, wird das Ganze zumeist chronisch. Glücklicherweise war das bei mir nicht der Fall. Theoretisch wäre sogar noch am selben Tag ein Slot im OP frei gewesen, da ich jedoch kurz vorher noch etwas gegessen hatte und man für eine Vollnarkose mindestens sechs Stunden vorher nichts gegessen haben darf, wurde der Termin dann wegen der Dringlichkeit (so etwas kann wohl auch ganz schnell zu einer Sepsis führen) auf den nächsten Morgen verlegt. Ich war zumindest froh, dass ich mich dadurch etwas mehr drauf einstellen und selber einige Sachen packen konnte.
Am nächsten Morgen ging es dann nüchtern zunächst zum Check-in auf die Station, um dann im Bett durch das halbe Krankenhaus geschoben zu werden. Eine interessante Achterbahnfahrt. Im Vorraum zur OP gab es dann erst einmal den leckeren Propofol Cocktail und ich war weg. Nach einer unbekannten Zeit bin ich dann langsam im Aufwachraum wieder zu mir gekommen, ein kurzes Handzeichen reichte und die Schwester verbreichte einem eine zusätzliche Dosis Schmerzmittel. Wenn alles nur immer so einfach wäre. Als die Vitalparameter ausreichend waren, wurde ich dann über gefühlte 100km Gänge zurück auf die Station gefahren. Dort kam dann nach einiger Zeit der Oberarzt zur Post-OP-Visite und erklärte mir die Hiobsbotschaft, dass leider bei dieser OP nur erst einmal der Riesen Abszess gespalten, also ausgeschabt werden konnte. Die Fistel, also die Röhre, die der Körper gebaut hatte, um die Entzündung selber abzuleiten, hätte auf Grund der Menge an entzündetem Gewebe nicht verlässlich entfernt werden können. Deshalb müsste ich jetzt erst einmal etwa drei Wochen warten, bis dieser Teil etwas abgeheilt ist, damit ich dann nochmal unters Messer darf. Ich war sehr begeistert!
Die große Wunde am Hintern, die ich nun hatte, wird nicht vernäht, sondern muss offen langsam herausheilen. Anderenfalls wäre das Risiko zu groß, dass sich das ein oder andere Bakterium dort einnistet und der "Spaß" nach kurzer Zeit von vorne losgeht. Die nächsten drei Wochen habe ich dann mit täglichen Arztbesuchen zur Wundkontrolle und Verbandswechsel verbracht. Sitzen ging wegen den Schmerzen trotzt hochdosiertem Schmerzmittel gar nicht, also hieß es auf dem Sofa oder Bett rumgammeln und möglichst ganz vorsichtig drehen. Ein Hoch auf Amazon Prime Video und Netflix!
So stand nach etwa drei Wochen erneut der Check-in im Krankenhaus auf der Agenda. Mein Hausarzt hatte mich schon vorsichtig vorgewarnt, dass dieser zweite Teil erfahrungsgemäß noch unangenehmer und langwieriger werden könnte. Alles was in den letzten drei Wochen verheilt war, wird ja durch die neue OP quasi wieder zunichte gemacht. Man gebe mir Propofol! Offenbar haben die es damit sehr gut gemeint, denn nach der OP war ich noch den Rest des Tages bematscht. Diesmal hat eine Oberärztin dem Chefarzt bei der OP assistiert und durfte mir - halb im Propofolrausch - von dem Ergebnis berichten. "Es sieht gut aus, es konnte alles entfernt werden. Wir haben da eine xyz-Tamponade gegen die Blutung eingelegt. Die kann morgen entfernt werden, oder evtl. auch rausgehen, wenn Sie auf Toilette gehen..." Von dem ganzen Bericht habe ich eigentlich nur "gut aus“ und „alles entfernt" mitbekommen. Was es mit dieser Tamponade auf sich hatte, sollte ich um etwa 2:00 nachts herausfinden. Da ich trotz einer Schlafpille nicht wirklich schlafen konnte und ein heftiges Völlegefühl hatte, bin ich dann mitten in der Nacht auf Toilette. Allerdings ohne Erfolg. Dafür hatte ich einen Verband, den ich am Hintern spürte und eigentlich nur mal eben entfernen wollte. Hätte ich mal gewusst was das war. Offenbar hieß "etwas Tamponade gegen Blutungen", dass die mich wie eine Weihnachtsgans mit gefühlt 3kg Mullbinde ausgestopft hatten, die sich natürlich wegen der Wunde jetzt mit Blut und Wundsekret vollgesogen hatte. Unzurechnungsfähig wie ich war, habe ich daran also in mehreren Schüben gezogen und gezogen. Bei jedem ziehen wäre ich fast umgekippt, weil das vermutlich ziemlich heftig für den Kreislauf und auch sehr schmerzhaft war. Aber irgendwie wollte ich ja jetzt auch nicht mit ein paar Meter Verbandsmaterial, das aus dem Hintern hängt, wieder ins Bett gehen. Schön ist es, wenn der Schmerz nachlässt. Am nächsten Morgen wollte sich dann eigentlich ein Pfleger der Tamponade annehmen. Er hat mir gar nicht geglaubt, dass ich diese selber entfernt hatte und wollte dies erst einmal kontrollieren. Er war schon viele Jahre dort tätig, aber so etwas hätte er noch nie erlebt. So habe ich wenigstens einen bleibenden Eindruck hinterlassen...
Nun durfte ich noch etwa weitere zwei Monate mit regelmäßigem Wundausduschen, mehrfachen Verbandswechseln pro Tag, täglichen Arztbesuchen zur Wundkontrolle, Chirurgen zur Wundätzung und weiteren spaßigen Dinge verbringen, bis das ganze einigermaßen erträglich war. Was die Ärzte mir aber schon zu Beginn gesagt hatten, hatte sich nicht geändert. Meine Saison war gelaufen, nachdem ich nun die ganze Vorbereitungszeit statt auf dem Rad oder im Wasser auf dem Sofa verbracht habe. Auch wenn die Wunde langsam zu ist und die Schmerzen nachlassen, zumindest an das Radfahren ist die nächste drei Monate nicht zu denken. Wenn es gut läuft, darf ich in Kürze wieder mit dem Laufen anfangen.
Das alles nur wegen einem "etwas größerem Eiterpickel"!!
